Psathyrella obtusata var. aberrans K. v. Waveren)
Psathyrella obtusata var. utriformis sensu Kits van Waveren [Persoonia (Suppl.) 2: 200 (1985)]
Psathyrella obtusata var. aberrans Kits van Wav., Persoonia 13(3): 340 (1987)
Psathyrella obtusata (Pers.) A.H. Sm., Contr. Univ. Mich. Herb. 5: 55 (1941) var. obtusata.
Sinonimi di P. obtusata:
Agaricus obtusatus Pers., Syn. meth. fung. (Göttingen) 2: 428 (1801)
Agaricus obtusatus var. hebes Fr., Syst. mycol. (Lundae) 1: 293 (1821)
Agaricus obtusatus Pers., Syn. meth. fung. (Göttingen) 2: 428 (1801) var. obtusatus
Drosophila obtusata (Pers.) Quél., Fl. mycol. France (Paris): 59 (1888)
Drosophila spadiceogrisea var. obtusata (Pers.) Quél., Enchir. fung. (Paris): 117 (1886)
Psathyra obtusata (Pers.) Gillet, Hyménomycètes (Alençon): 591 (1878)
Psathyra obtusata (Pers.) Gillet, Hyménomycètes (Alençon): 591 (1878) var. obtusata
Psathyrella obtusata f. nivescens E. Ludw., Pilzkompendium (Eching) 2([2]): 638 (2007)
Psathyrella obtusata (Pers.) A.H. Sm., Contr. Univ. Mich. Herb. 5: 55 (1941) f. obtusata
Psathyrella obtusata var. aberrans Kits van Wav., Persoonia 13(3): 340 (1987)
Psathyrella obtusata (Pers.) A.H. Sm., Contr. Univ. Mich. Herb. 5: 55 (1941) var. obtusata
Psilocybe obtusata (Pers.) P. Kumm., Führ. Pilzk. (Zerbst): 71 (1871)
Dati raccolta.
Due reperti di dimensioni molto piccole (non si rilevano nello scritto dati che suggeriscano le dimensioni di cappello e gambo pur essendo le iconografie di ottima qualità, specie per la presenza dell’importante residuo velare sul cappello ed al bordo del medesimo) raccolti da Carlo Agnello, Mesagne (BR) in data 12.01.2018 in Località S. Antonio alla Macchia, Comune di San Pancrazio Salentino (BR), su muschio; nelle vicinanze diversi esemplari di Arrhenia rickenii, con presenza di Cistus monspeliensis, Pinus halepensis, Cupressus sempervirens. Purtroppo l’eccessiva essiccazione dei reperti producevano una frattura continua dei piccolissimi pezzetti e diventava arduo riuscire a prelevare residui di velo, della parte alta del caule e lembi di pileipellis.
Dati Micromorfologici.
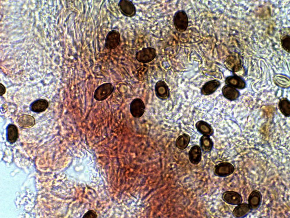
Spore: effettuate ben quattro misurazioni con il sistema Piximetre. Prima misur.: (6.12) 6.23 - 7.18 (7.58) × (3.57) 3.88 - 4.38 (4.52) µm; Q = (1.55) 1.58 - 1.81 (1.95) ; N = 8; Me = 6.86 × 4.04 µm ; Qe = 1.70. Seconda misur.: (6.76) 6.83 - 8.49 (9.02) × (3.82) 4.05 - 5.19 (5.57) µm; Q = 1.40 - 1.98 (2.06) ; N = 14; Me = 7.70 × 4.69 µm ; Qe = 1.66. Terza misur.: (6.64) 6.92 - 8.48 (8.66) × (4.05) 4.25 - 5.87 (5.96) µm; Q = 1.25 - 1.85 (1.88) ; N = 14; Me = 7.64 × 4.96 µm ; Qe = 1.56. Quarta misur.: (7.28) 7.42 - 8.33 (8.41) × (4.77) 4.81 - 5.12 (5.35) µm; Q = (1.40) 1.54 - 1.66 (1.67) ; N = 6; Me = 7.83 × 5.02 µm ; Qe = 1.58. Spore piuttosto piccole, in media 7,51 X 4,68 µm., ellissoidali/ovoidi spesso faseoliformi, di profilo ellissoidali piuttosto appiattite, giallo pallide/brune, opache, con piccolo poro germinativo alquanto indistinto, talvolta non percepibile.
Cellule marginali: i pleurocistidi, riportati in quantità nelle immagini e nel disegno al tratto, hanno tipologie che vanno da lageniformi a fusiformi a più spesso utriformi con apice subcapitato, mai appuntito o sottile; le misure vanno in media da 20,18 a 44,50 X 6,20-8,14, con parete sottile e assenza di gocce oleose o di altro tipo all’apice. Gli elementi del filo, pseudocheilocistidi, hanno talvolta forma simile ai pleuro, ma più spesso formano una palizzata continua di cellule sferopeduncolate o clavate. La trama imenoforale è costituita da ife allungate, con setti giallastri e sottile incrostazione, talvolta con contenuto marrone chiaro.
Cuticola: la suprapellis è costituita di elementi sferocitici cui si sovrappongono, specie al margine del cappello, ife cilindriche, settate, arrotondate al setto, che costituiscono il velo generale presente sul cappello, alla scomparsa del quale, la superficie dello stesso resta lucida, liscia.
Caule: analizzata una piccolissima porzione del gambo nella parte alta, ma, data l’estrema vulnerabilità dei reperti non è stato possibile cogliere, nelle piccole parti analizzate che ife fascicolate, settate, tipiche del tessuto caulinare mentre nessun caulocistidio è emerso all’indagine, che non è stata ripetuta causa la sua ininfluente importanza ai fini determinativi.
Dati nomenclaturali e determinativi:
Diventa davvero interessante e, come in questo caso, determinante una microscopia eseguita secondo i dettami del Dott. K. v. Waveren, nella sua monografia sul Genere per quanto riguarda l’uso di Rosso Congo, KOH, acqua e risciacqui vari, ai fini di liberare le lamelle dalle spore ed avere un materiale tra coprioggetto e vetrino il più possibile trasparente e significante ai fini della comprensione di un coacervo di specie che spesso non sono così chiare e definitive nemmeno per gli specialisti come lui, Orstadius, Melzer o Fouchier. Dunque quanto evidenziato all’indagine micro è stata risolutiva nel seguire le quattro chiavi degli studiosi che hanno portato, unico credo esempio nello studio di un Genere così complesso, allo stesso risultato: Psathyrella obtusata var. utriformis.
Si parte, chiaramente usando in primis la sistematica usata del medico olandese che già nella chiave ai Sottogeneri e Sezioni, a pag. 38, ci fa trovare una nota significativa riguardo alla nostra: “…P. obtusata può tranquillamente appartenere, per le sue dimensioni sporali, tra 7,5 e 7,9 µm., sia alla Sezione Hydrophylae che alla Spadiceogriseae…”!! Non sapevamo ancora che la nostra corrispondesse alla obtusata, ma il dato è singolare e ci ha incuriosito, vista la coincidenza delle nostre misurazioni con queste di obtusata..magari non eravamo troppo lontani, ci siamo detti….Dunque, seguendo la chiave, con spore sino a 10 µm, siamo nel S/G. Psathyra dove si rilevano i seguenti dati: a) il velo è costituito da ife e non da sferociti; b) la superficie del cappello sotto il velo è liscia; c) sono presenti pleurocistidi; d) i pleuro hanno parete sottile; esaminando a questo punto i dati della nostra microscopia, e seguendo la chiave della Sezione Hydrophylae dove è più corretto considerarla, e valutando gli elementi del filo lamellare che hanno presenze di mucroni in alcuni dei cheilocistidi o delle cellule sferoidali-obese, si giunge a P. obtusata che presenta, tuttavia, dei pleuro più lageniformi che utriformi come i nostri, per cui, nella distinzione che K. v. Waveren riporta con la varietà utriformis, la nostra appartiene decisamente a questa seconda.
La seconda, importante e pratica chiave di ricerca delle specie che usiamo, incuriositi dalla evidenza di cui sopra, è quella di A. Melzer, ricevuta in “dono” (è il caso di dire, vista la sua praticità e immediatezza di consultazione) dall’amico Enzo Musumeci, esperto del settore.
Si parte: a) considerando che il nostro velo generale è costituito da ife e non da sferociti; b) che i cistidi non hanno gocce oleose; c) i pleuro sono presenti; d) hanno parete sottile e assenza di cristalli; e) i basidi sono principalmente tetrasporici; f) il poro germinativo non è presente o appena visibile; g) le spore sono maggiori di 6 µm; h) non sono lentiformi; i) non sono strettamente ovoidi o fusiformi; l) non brillano particolarmente usando KOH; m) il velo non è fortemente sviluppato ma labile; n) i cheilo non sono a ciuffi o pacchetti, ma lo sono parzialmente; o) i pleuro non hanno depositi bruni alla base; p) i cheilo si presentano anche mucronati….ecco, la chiave arriva a conclusione, al punto 23 della Parte D, verde, sulla specie obtusata, anche se non viene presa in considerazione la ulteriore diversificazione con la varietà utriformis che lo studioso olandese aveva già fatto nel lontano 1982.
La chiave di L. Orstadius & H. Knudsen del 2008, riportata in Funga Nordica (pagg.586-623) ed in Nordsvamp, non permette di giungere all’inquadramento di P. obtusata, crediamo per una leggera svista degli autori, in quanto la loro chiave principale recita: a) spore inferiori a 9 µm; b) non su sterco; c) pleurocistidi presenti; d) filo lamellare e cistidi non ricoperti da gocce verdi in ammoniaca; e) spore maggiori di 6,4 µm; f) velo presente e pleuro con o senza cristalli; g) odore no ndi mandorle, marzapane o cocco; a questo punto, a nostro modesto avviso, avviene una evidente “scivolata”: CHIAVE J per pleuro di tipo lageniforme/conico, ad apice spesso acuto ( e P.obtusata la inseriscono erroneamente in tale posizione) oppure la CHIAVE K con pleuro utriformi/lageniformi (i nostri, appunto) in cui saranno inserite specie come noli-tangere, pygmaea, globosivelata, panaeoloides, ecc…caratterizzate, appunto da pleuro assolutamente uguali ai nostri. Tuttavia la descrizione completa e precisa di obtusata ricalca quello già detto in precedenza della nostra, eccetto ovviamente la forma dei pleuro e dunque non prende in considerazione nemmeno una var. utriformis.
Una ulteriore conferma, se ce ne fosse ancora bisogno, emerge dall’ultima chiave usata, quella di F. Fouchier del 1995 per la Fedération des Associations Mycologiques Méditerranéennes. Si procede inquadrando il SottoGenere Psathyra per: a) le spore non più lunghe di 10 µm; b) il velo costituito da ife cilindriche; c) per la superficie liscia sotto il velo; d) per gaf poco visibili o assenti; e) per pleurocistidi presenti; f) per habitat non coprofilo e assenza di pileocistidi; g) per parete sottile; h) per spore che non superano i 7,5 µm si interessa la Sezione Hydrophylae e la CHIAVE F a pag. 57!! i)le spore sono da 7,5 a 7,9; l) i pleuro non sono mai mucronati; m) i pleuro non sono ricoperti da sostanza mucoide; n) i cheilo sono molto rari, però sono presenti numerose cellule sferopeduncolate o clavate; o) con le spore rugose si interessa P. stigmatospora, ma con le spore lisce come nel nostro caso, si ottiene Psathyrella obtusata!!! Neanche Fouchier prende in considerazione la var. utriformis, però cita una var. aberrans di K. v. W., a spore nettamente più pallide, ma poi, nel descriverla, la sinonimizza con la varietà appunto utriformis e dunque tutto torna a chiudere un cerchio quasi magico per la incredibile corrispondenza su questa specie (e varietà se vogliamo), di autori e chiavi differenti. Crediamo non sia possibile una confusione con altre specie per cui ribadiamo la corretta determinazione di Psathyrella obtusata var. utriformis.
Ci preme ringraziare Gabriele Cacialli per il materiale fornito, Enzo Musumeci per i consigli ed il materiale biblio, Marino Zugna per i consigli e gli scambi di opinioni, Carlo Agnello per le sue preziose exsiccatae…almeno per noi.
Scheda by: Massimo Panchetti


Questa discussione è bloccata























